Smile Analysis and Smile Design

  1. Home
  2. Service
  3. Smile analysis and smile design

Need help ?

Schedule your initial consultation today and start your journey towards a pain-free, healthier smile. Contact us now!

Smile Makeover Treatment in Gandhinagar

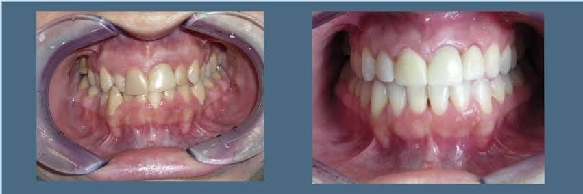
Smile Design in Gandhinagar

A smile is integral to one’s personality. If you have a disarranged pair of teeth that makes your smile look less captivating, we have a solution for the problem. At Laxminarayan Dental Clinic, we have experts offering the best smile design in Gandhinagar. After analysing all the aspects, our dentists figure out a smile design specific for individual patients.

Our smile makeover dental clinic in Gandhinagar does not offer template designs or solutions. We pay attention to each detail of every individual before coming up with a smile design. Contact us for any variety of smile design treatments in Gandhinagar. We offer a smile makeover in Gandhinagar at pocket-friendly prices.

Smile Analysis

Typically, smile analysis at Laxminarayan Multispecialty Dental Clinic India involves an attempt to understand your emotional aspect to determine how your smile affects your self-image, your interactions with others, and your relationships.

The objective questions may also be raised to determine what structural/physical aspects of your smile concern you most.

Smile Makeover

Smile makeover or cosmetic dentistry process include the treatment that makes your teeth more presentable and attractive, thus your smile becomes perfect.

From the teeth cleaning, whitening, polishing to remove the extra deposits and stains from the teeth, add the bridges, veneers, crowns and smile design is included in the smile makeover treatment.

The team of cosmetic dentists works with the well planned and synergistic approach, so we plan the final result before we start to work on your teeth.

What We Offer Under Smile Makeover Treatment?

  • You can receive the best treatment by our highly qualified individuals with the best ethic and who will treat you with the soothing hand.
  • The team of dentist work together to help you from the dental problem. You can express your opinion with the open heart and give the painless and quality service left to us…

Here are some common dental issues that you can consider, that we treat and make your smile more beautiful.

Make smooth structure

The compound is added and formed with the different composite instruments, and make the final shape to make your mouth smooth structure. Just take care that final shape is achieved, the compound is light-curing.

Treat surface defect

Defects on the surface of the teeth, just like discolouration, or black tooth make the smile bad. By doing the restoration and maintaining the thickness of the compound we make your smile best.

Cavity composite

A cavity is the most common among all the issues, and sugar, food is accumulated between the teeth. Initially, it is not visible but as the acids continue the process, cavity becomes large and visible. We treat them.

Compound Veneers

If the old composite sheets discolored, deformed and worn, then it must be removed or changed. We add new ones and give the flexibility to every tooth.

Porcelain Veneers

Under our cosmetic dentistry plan, we offer a large number of the smile design with the help of porcelain veneers to create a unique and natural smile for the patients.

  • Modification of the shape and size of the tooth
  • Improve the shadows of the teeth
  • Joint, filling and crowns
  • Contouring and remodeling
  • Depigmentation of the gums

Why To Approach Us?

Everyone knows the importance of the correct and beautiful smile. A beautiful smile makes a lot of difference. Add in your personality and confidence. A beautiful smile is a reflection of your health and personality. We strive to achieve the best possible results for your aspiration through our dedicated approach.

We are result driven and maintain transparency even in starting procedure. Come with the positive attitude and go with the BEAUTIFUL SMILE …

Smile Makeover in Gandhinagar
Invisalign Tretment In Gandhinagar