Gum Treatment in Gandhinagar

  1. Home
  2. Service
  3. Gum Diseases

Need help ?

Schedule your initial consultation today and start your journey towards a pain-free, healthier smile. Contact us now!

Gum Treatment in Gandhinagar

Gum Treatment

Oral health depends largely on your gum health. Healthy gums always foster healthy teeth and oral civility. Since teeth remain rooted into the gums, any problems with gums only aggravate teeth problems. Laxminarayan Multispeciality Dental Clinic offers exclusive and advanced gum treatments in Gandhinagar at affordable prices.

With us, you will find a wide range of gum treatments for several dental troubles. We also offer painless laser gum surgery in Gandhinagar at a reasonable price. For any gum disease treatment in Gandhinagar, you can rely on our team of expert dentists. From bleeding gums to Pyorrhea, we have a solution for every gum problem that you may have.

Gum Diseases

Best Gum Treatment in Gandhinagar

In the good old days, people used to say that a clean mouth is equal to a clean body. This has even been preached in the ayurveda, and today modern evidence suggests the same. Periodontal disease can have serious medical consequences.

What are the warning signs of gum disease?

Reddening of gums, bleeding gums, pus draining from the gums, increased spacing between the teeth, loosening of teeth and a recent increase in the length of the teeth are some of the common symptoms of gum disease.

Don’t let periodontal disease take away your smile! We sincerely hope you do not have any of the above but if you answered yes to any of these questions, consult us immediately – and we will help you to save your natural teeth. We will be happy to schedule you for a comprehensive evaluation of your periodontal health.

Painless Laser Gum Surgery Gandhinagar

Pyorrhea:

It is the most common gum disease. If above mention signs and symptoms are not treated in early stage, Then such condition could develop chronic periodontitis (pyorrhea). Certain medical conditions or medications may make you more susceptible to gum disease. Medical condition includes pregnancy, birth control pills, anti deppression tablets, blood pressure tablets, antiepileptic drug, etc.

Gum Disease Treatment in Gandhinagar

We provide following treatment for gum problems:

  1. Scaling: it is procedure which removes debris and calculus. It should be done once in every six months if require
  2. Polishing of teeth
  3. Deep Curettage
  4. Gingivectomy
  5. Flap Surgery
  6. Flap Surgery with bone graft
  7. Treatment of gingival recession.

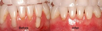
Before and after treatment photo :

Best Painless Laser Gum Surgery Gandhinagar

Post treatment instruction:

  • Teeth sensitivity and slight discomfort of the gums are common symptoms during the first few days after scaling.
  • Avoid sour, cold and hot food during this period.
  • Maintain a soft food diet for the first week after gum surgery, during this period limit the strenuous exercise and water sports like swimming.
  • Do not rinse your mouth vigerously after gum surgery for 24 hours.
  • Keep your teeth and mouth clean by brushing gently after meal.
  • Take medication as prescribed by dentist.
  • Ulcer may develop after the treatment.
Invisalign Tretment In Gandhinagar