Dental crowns, bridges and veneers

  1. Home
  2. Service
  3. Dental crowns, bridges and veneers

Need help ?

Schedule your initial consultation today and start your journey towards a pain-free, healthier smile. Contact us now!

Dental Crown:

A crown is a permanent covering, that fits over an original tooth that is either decayed, damaged, cracked or RCT treated tooth.

Dental Bridge:

Bridge is a dental prosthesis that fills a space that a tooth has occupied previously.

A dental bridge is a false tooth. It replaces the space of the missing teeth. This process is used to replace one or more missing teeth. Full Mouth Bridge can also be made by this procedure.

A fixed bridge cannot take out of your mouth as you might do with a removable partial denture. It remains fixed in your mouth all the time.

Why it is important to replace a missing tooth :

  • When the permanent tooth is lost the neighboring tooth is affected because the support and chewing forces are altered. The remaining teeth begin to shift. This accelerates periodontal disease and causes further breakdown in the dental arch.
  • If the missing tooth is not replaced more teeth will eventually be lost due to improper forces exerted during chewing.
  • There might be chances of caries of the adjacent tooth if the tooth is not replaced in space

Benefits of replacing tooth:

  • Helps restore and maintain natural bite.
  • Prevents unnatural stress on other tooth.
  • Helps keep opposing tooth and adjacent tooth in their original position.
  • Maximize your smile, speech and chewing functions.
  • Help to Prevent Further Decay and Periodontal Disease

How treatment get done:

  • Numbing the tooth to remove decay in or around the tooth.
  • Your tooth or teeth to be crowned are trimmed down; this allows sufficient space for the bridge to fit.
  • Resculpturing the tooth to provide an ideal fit for the crown.
  • Making an impression of your teeth in order to create a custom made crown (usually it takes three to four days)
  • After ensuring that the crown has the proper look and fit, the dentist cements it into place.
  • Crowns are made of a variety of materials like metal, gold, porcelain (ceramic), acrylic, zirconia.

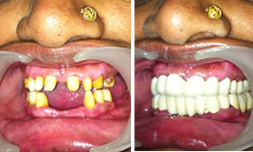
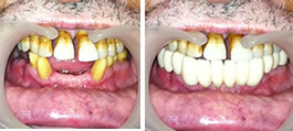
Before & After treatment of full mouth rehabilitation:

Post treatment instruction after temporary crown:

In some patients, we give a Temporary crown which is not strong. They may break or come off occasionally. If so, put it back on the tooth with some Fixodent (Denture Adhesive) and call us for an appointment. Please do not leave the temporary out of your mouth because the teeth will move and the final restoration will not fit. Please do not floss around your temporary crown. The size, shape, and color of the temporary does not resemble the final restoration.

Temporary restorations may leak saliva or food into the tooth. Sensitivity to hot, cold, and sweets is common. If you feel the bite is not correctly balanced, please call us for an appointment for a simple adjustment.

Post-treatment instruction after permanent crown:

After the final cementation of your restoration, it may take a few days to get used to the new crown or bridge. Hot and cold sensitivity is possible for a few weeks and may remain for several months. As with the temporary, if the bite doesn’t feel balanced then please call us.

After treatment do not chew hard or sticky foods on the restoration for 24 hours from the time they were cemented. The cement may set up during this time to have optimum strength.

Proper brushing, flossing, and regular 6-month (minimum) cleanings are required to help you to retain your final restoration.

The only area that a crowned tooth can decay is at the gum line. Often, small problems that develop around the restorations can be found at an early stage and corrected easily, but waiting for a longer time may require redoing the entire restoration.

Invisalign Tretment In Gandhinagar